Are You New Patient ?

First Contact :

First Contact from patient is through telephone or message on +91 9881509744 or email enquiries at caremultispecialitydental@gmail.com.Once they have made a contact we send out a practice information message and register the patient with our practice.

Pre Screening :

The first consultation appointment is made with our doctor who sits and listens to the patient’s ideas, concerns and expectations. During the pre screening the patient’s details are recorded on case history paper with dental and medical history if any.

Dentist Consultation:

The Dentist then does a thorough examination of the patient’s oral health. A complete examination report is given to the patient along with a treatment plan estimate and details.

Reflection and Explanation of Treatment:

Once the dentist has given initial explanation of all treatment options then the patient is given further detailed explanation of his treatment through leaflets/Videos/animations/photos and demonstration models.

Confirmation and Payment:

Once Patient confirms treatment, treatment is started and payment is accepted through different modes/options available.

Follow Up:

Once the treatment is started or continued the patient comes back for a follow up with dentist who checks and signs off the work so that the team can confirm and reassure that everything is up to best practice standards or if there are any recommendations.

Review :

A specific time is decided depending on patient’s oral health status to review either in 6 or 12 months. Patients can contact us 24/7 through our dedicated 24 hours telephone service for any queries or emergencies.

We Care About Your teeth

Welcome to Care Multispeciality Dental Clinic, a practice designed around the highest standards of patient care. Led by practice principals, Dr. Ankita Bhavsar Salvi , our team members pride themselves not only in their skills in dentistry, but also in their caring approach to making every visit to the clinic as comfortable for you as possible.

Here at Care Multispeciality Dental Clinic , we understand that not everyone looks forward to a dental treatment. Therefore, we believe in making our patients feel at ease from the moment they step into the clinic, because we not only care for your teeth, but also care for you as a person.

You will find that the way we run our clinic, from our procedures and policies through to the continuous learning, development and training of our team members, is all based on delivering outstanding care and we always strive to improve in all these areas.

Services

General Dentistry

• Check up/Consultation

• X-ray

• Extractions & Oral Surgery

• Root Canal Treatment

• Cavity Fillings

• Teeth cleaning and polishing

Cosmetic Dentistry

• Teeth Whitening

• Porcelain Veneers/Laminates/Thineers

• White/Ceramic Fillings

• Gum Contouring & Teeth Reshaping

• Smile Makeovers

Restorative Dentistry

• Broken Teeth Treatment

• Missing teeth treatment

• Loose teeth

• Crowns

• Bridges

• Removable dentures

Preventive Dentistry

• Dental Hygiene

• Bad Breath

• Gum Disease

• Decay Detection

Pediatric Dentistry

• Pediatric root canals

• Pediatric fillings

• Pediatric teeth cleaning

• Pediatric crowns

• Pediatric fluoride treatment

• Dental sealants

Implant Dentistry

• Dental Implants

• Mini Implants

Orthodontics

• Invisalign Clear Braces

• Incognito Hidden Lingual Braces

• Metal braces

0

Happy Patients

0

Our Services

0

Our Doctors

0

Our Teams

Our Achievements

+91 9881509744

Please free to contact us for emergency case.

Sunday - (Doctor’s are available in the morning on booking the appointment 24hrs Prior)

Contact With Us

Why Choose Us ?

Latest Infrastructure

Dental Spa | Digital X-Ray | Single Sitting | Advance Lazer & Computer Guided Systems | High Level of Hygiene.

Qualified Doctors

Our Team of Best Professional Doctos , along With Their Experience , Skills and Latest Technology , Ensures that you are in safe Hands.

Client Centric Treatments

Our Treatments Are Client Centric , We Value Your Time (Single Sitting), Smile (Painless) and Your Budget (Budgeted Options)

10 C’s To Create A Great Smile

Here at Care Multispeciality Dental Clinic, we understand that not everyone looks forward to a dental treatment. Therefore, we believe in making our patients feel at ease from the moment they step into the clinic, because we not only care for your teeth, but also care for you as a person. Contact us today to book an appointment. We look forward to caring for you!

At Care Multispeciality Dental Clinic we like to keep our patients informed and involved before, during and after treatment. We love to communicate with you and encourage your feedback at all times. Here are some examples of how we do this:

We create multiple communication channels via text message reminders, telephone, email, treatment videos and photos through, which you can contact us or obtain more information.

Once we have diagnosed your case, you will always be provided with a full treatment plan with all the treatment options available and their prices, which we will discuss with you in detail so you can make an informed decision that is suits you. Start a conversation with us about your oral health today – we look forward to hearing from you!

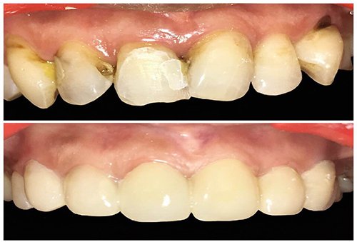
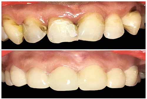
There is nothing more beautiful than a healthy smile that has been well looked after. A specialization within dentistry, known as cosmetic dentistry, focuses on giving patients not only a fully functioning smile but also an attractive one that you will be proud to flaunt around. Here at Care Multispeciality Dental Clinic we are trained to deliver numerous cosmetic dentistry treatments, giving you a wide range of choices for getting the smile you always wanted. These treatments are designed to enhance your smile with materials and techniques that will make the final outcome look natural and in tune with the rest of your teeth and the proportions of your face. You can learn more about our treatments by observing our presentation on following cases:

  • • Chipped teeth
  • • Crooked teeth
  • • Gaps in the teeth
  • • White fillings
  • • Solutions for missing teeth
  • • Crowns
  • • Smile makeover

If you are interested to find out more about the results you can expect with these treatments, do ask our experts and watch the presentation for smile make over cases.

The word ‘comfort’ might not be what you immediately associate with a visit to the dental practice but we strive to make you as comfortable as possible during your stay. When you step into Care Multispeciality Dental Clinic you will enjoy the warm and friendly environment that we create here. When you are in the dental chair, our experts will do their best to make you feel at ease, by listening to you and stopping treatment whenever you feel uncomfortable. We do this so you feel in control and less anxious about dentistry.

Our team is in tune with your needs and many of our patients comment how they appreciate the time we take to make them feel relaxed and welcome.

Our patients benefit from a number of convenient features at our practice .We offer flexible appointment times in the evenings and weekends for our patients who have very demanding schedules. As a convenient way to remind you about your upcoming appointment, we will also send you a text message or call to your mobile phone.

We love to make use of technology to create processes that are more streamlined and easy for our patients to use. Another advantage is that we offer all our dental services under one roof. In other words, we can conduct the necessary x-rays on our premises, so you don’t have to travel to another location. We also have a number of dental specialists who will come to the practice to deliver your treatment should you require advanced procedures .

Our practice is also accessible for patients with and on the main road, making a trip to the dentist as convenient as possible.

We are very proud of our team at Care Multispecialty Dental Clinic. Each of us works very hard and loves to care for patients. We enjoy making you feel welcome and giving your confidence back by restoring your smile to good health.

Our fees are affordable. The patient gets a premium level of dental treatment at reasonable costs. Some of the options available for our patients include:

  • – cash/cheque/ payment acceptable
  • – Credit/Debit card payment facility
  • – Membership Plans for monthly payments

At Care Multispeciality Dental Clinic, we not only help you keep your teeth clean, we keep our practice clean as well!

Here at Care Multispeciality Dental Clinic we have ensured that we always follow stringent cleaning routines for all our equipment and instruments.

What does this mean for you as the patient? Well, you can rest assured that you will always be treated in a clean environment and that all the equipment and instruments used during your treatment have been sterilized and cleaned, so you are not at risk of any contamination from other sources. For us, this simply forms part of our commitment to patient care.

We provide a pain free and comforting treatment experience to our patients with the use of some gadgets like :

  • – Conscious Sedation
  • – Soft music
  • – Pleasant and temperature controlled treatment rooms
  • – A warm and friendly team to help you relax

Every team member in the practice is assigned specific tasks and responsibilities within an organization structure. Some of the team member titles include

  • -Principal Dentist
  • -Dental assistant
  • -Specialists

Dental Tourism

An exponential increase in the dental treatment costs over the last few years specifically in the western world has paved way to the concept of dental tourism.

Today India has become a favored destination not only for aesthetic landscape, music, arts and culture but for Dental or Medical tourism as well. High costs of dental treatment in developed countries have forced patients to look for better options abroad. It is a well known fact that India, with its sudden boom in technology combined with extensively trained and competent dentists offers world class dental treatment at relatively lower costs. On the other hand, India is a kaleidoscope of traditions, cultures and vibrant geographies. From its snow trenches, frolic coasts, splendid natural greens to the mystic ravines of spirituality and clusters of cultural shades, India captures the heart of every tourist making it an ideal location for dental tourism.

We at Care Multispecialty Dental Clinic strive to offer dental treatment that parallels the best in the world, while ensuring that the overall experience of the patient is a pleasurable one and most importantly cost effective too.

Patients have to go through the clinic website www.caremultispeciality.com or contact us directly on 9881509744 or caremultispecialitydental@gmail.com

Whenever possible patients generally mail their photographs, X-rays and other details to the clinic first. The tentative treatment plan, approximate cost and treatment duration is discussed.

Patients can check with the clinic to accommodate their dates into the clinic schedule, wait for confirmation, before they book their flight to Pune, Maharashtra, India. Staff

At Care Multispeciality Dental Clinic will be more than happy to guide them or give them suggestions to organize their travel & stay in Pune, prior and post treatment. If the procedure is lengthy, patients can enjoy their stay by visiting some of the beautiful and popular tourist attractions, in and around Pune.


As part of dental tourism we also provide the following adjunctive services:

  • • Free consultation via e-mail / telephone / or video conferencing
  • • An arbitrary description of your overall dental health, the possible treatments you may require and the no. of visits needed for the same with a quotation of the approximate treatment cost.
  • • Help with accommodation at 3 / 4 / 5 star hotels based on your preference

Why Pune ?

Pune is the eighth largest city in India and the second largest city in the state of Maharashtra. With a name that descends from the Sanskrit word 'Punya', meaning 'Virtue', the city leads as the 'veritable heartland' of cultural Maharashtra. Pune has also made its mark as the educational epicenter of the country, winning itself the sobriquet, 'The Oxford of the East'.

Pune rose to prominance in the 17th century as the seat of the Peshwe, the prime ministers of the Maratha empire. After the town was brought under the control of British India in 1817,

Pune weather is a blessing for tourists. Overall the city dwells a tropical wet and dry climate with average temperatures ranging between 20⁰ and 28⁰ except for the months of April and May during which the temperatures may hop up to around 35⁰ - 38⁰.

From eminent heritage and pilgrimage sites, to the weekend destinations of Lonavala & Khandala and the sprawling greens of the Western Ghats, the beautiful city has a lot to offer. Pune also observes a vivacious nightlife. The sunny beaches of Goa, adventure trips to Kolad and the magnificient caves of Ajanta & Ellora can also be incorporated in your itinerary along with several other tourist attractions in and around Pune.

Testimonial

Review by Our Valuable Clients

Contact Us